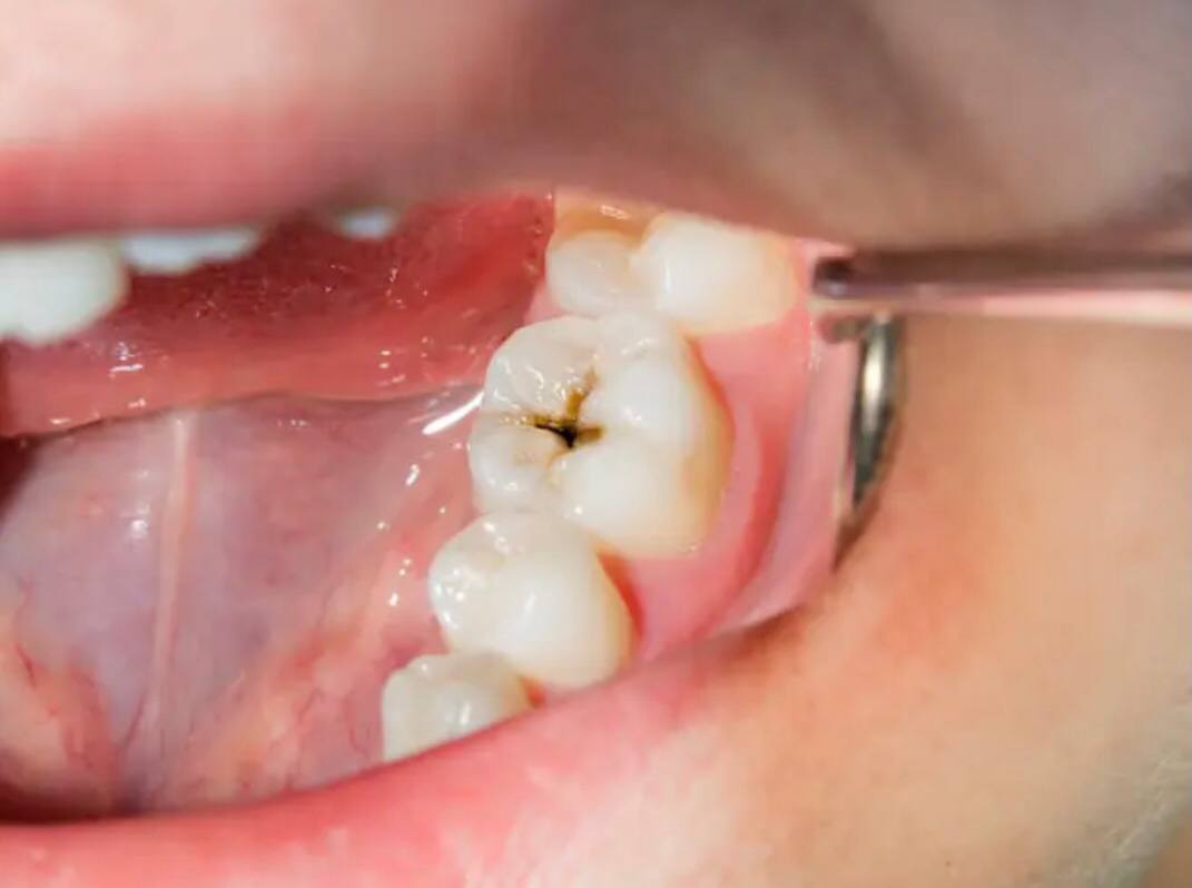
ترمیم دندان یا پر کردن دندان درمانی برای بازسازی عملکرد، یکپارچگی و ساختار از دست رفته دندان در اثر عواملی چون پوسیدگی یا ترومای خارجی می باشد. این درمان ابتدا بوسیله حذف پوسیدگی های موجود در دهان و سپس بازسازی بخش های از دست رفته دندان بوسیله مواد ترمیمی انجام می شود. این مواد می توانند از انواع آلیاژ فلزی (آمالگام) با مواد همرنگ دندان (کامپوزیت دندان) باشند.
به طورکلی پوسیدگی دندان ها را به ۷ مرحلهی شماره گذاری شده دسته بندی می کنند:
که به طورکلی شماره ۵ به بعد دندان نیاز به ترمیم دارد ولی در مورد شماره ۳ و ۴ دندانپزشک با توجه به شرایط پوسیدگی که آیا یک پوسیدگی فعال و درحال پیشرفت می باشد یا غیرفعال است تصمیم به ترمیم می گیرد.

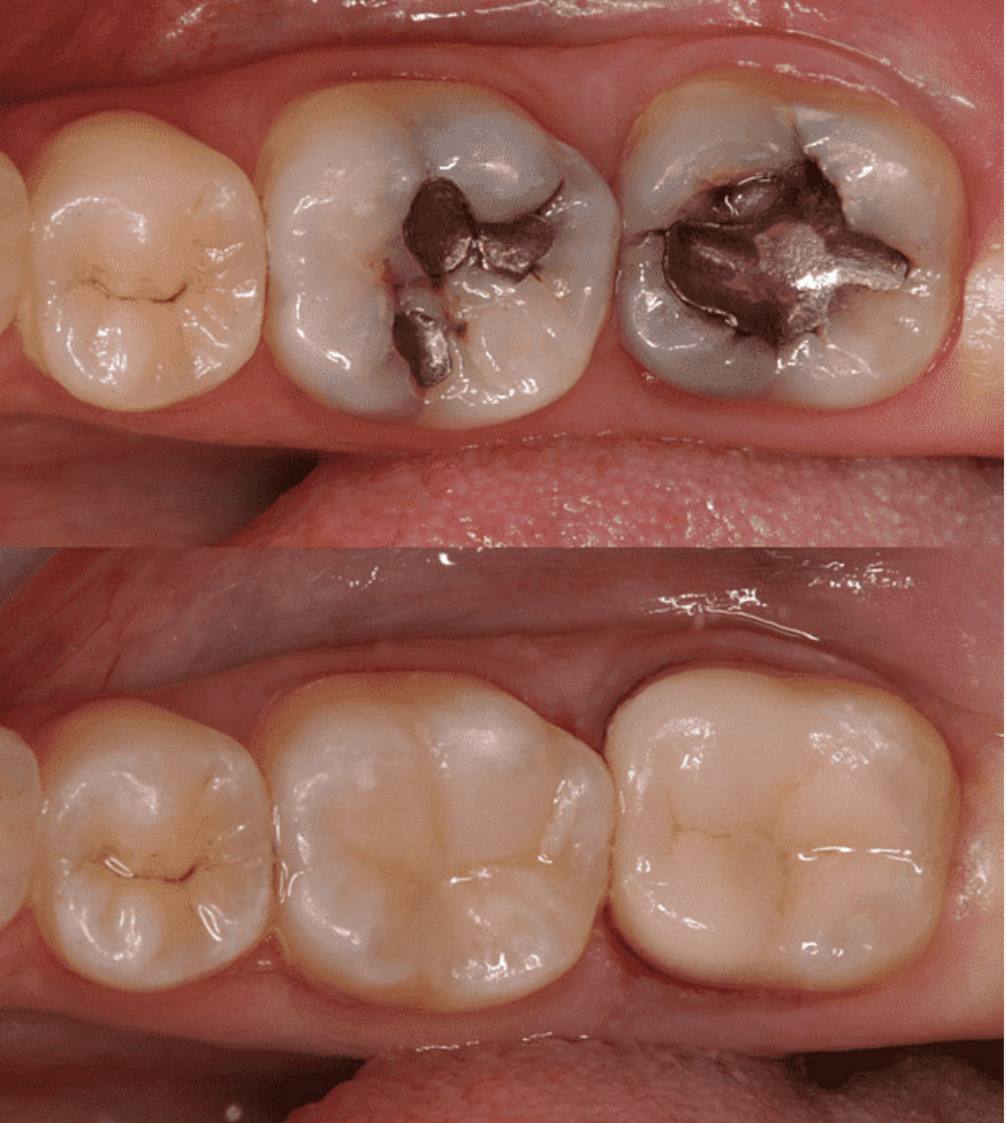
آلیاژی فلزی و غیرهمرنگ (نقره ای رنگ) با دندان می باشد که عمدتا از جیوه، نقره، قلع و مس ساخته شده است. شرکت های مختلف تولیدکننده درصدهای مختلفی از این عناصر را استفاده می کنند. جیوه نزدیک به پنجاه درصد این آلیاژ را تشکیل می دهد.
کامپوزیت های دندانی ترکیبی از اجزاء آلی (ماتریکس رزینی) و معدنی (فیلرها) می باشند. کامپوزیت ها قوامی خمیری دارند و با وسایل مخصوص بر روی دندان قرار می گیرند و با تابش نور از دستگاه لایت کیور سفت می شوند. البته این مواد در برابر نور طبیعی هم به مرور زمان سفت می شوند بنابراین این مواد را در بسته های ضد نور تولید و عرضه می کنند.
بعد از پر کردن دندان این نکات مراقبتی را رعایت کنید.

طبق اعلام انجمن دندانپزشکی آمریکا (DAD)، تعداد کمی از افراد واکنش آلرژیک را نسبت به پر کردن دندان تجربه می کنند. آلرژی یک واکنش سیستم ایمنی بدن به یک ماده خارجی است. افرادی که به مواد آلرژن حساسیت دارند، ممکن است یک واکنش موضعی را تجربه کنند. واکنش های آلرژیک به پرکردنی های نقره دار از جمله آمالگام نادر است، تاکنون تنها کمتر از ۱۰۰ مورد از چنین واکنش هایی گزارش شده است.
شما در کلینیک تخصصی دندانپزشکی دکتر حامد کرامت میتوانید از انواع خدمات زیبایی مانند لمینت، بلیچینگ، پروتز، روکش دندان و انواع خدمات درمانی مانند جراحی دندان و لثه، جرمگیری و بوتاکس در ناحیه فک و صورت بهرهمند شوید.
کلینیک تخصصی دندانپزشکی دکتر حامد کرامت در تهران، سعادتآباد، بلوار دریا (بین سردار دریا و میدان کوثر) پلاک ۱۵۷ قرار دارد.
برای اطلاع از هزینههای دقیق خدمات دندانپزشکی در کلینیک تخصصی دکتر حامد کرامت میتوانید از طریق شمارههای تماس ۸۸۶۹۴۱۲۰-۰۲۱ و ۸۸۶۹۴۹۱۳-۰۲۱ با ما در ارتباط باشید.
کلینیک تخصصی دکتر حامد کرامت در روزهای شنبه، یکشنبه، دوشنبه و چهارشنبه در شیفت عصر و در روزهای سه شنبه و یکشنبه در شیفت صبح آماده خدمترسانی به شما مراجعین محترم است.
برای رزرو نوبت در کلینیک تخصصی دکتر حامد کرامت کافیست به شماره تلفن ۸۸۶۹۴۱۲۰ زنگ بزنید یا فرم ارتباط با مطب دکتر حامد کرامت را پر کنید تا کارشناسان ما در سریعترین زمان ممکن با شما تماس بگیرند.
برای دریافت مشاوره و نوبت همین حالا تماس بگیرید.
جراح و متخصص بیماریهای دهان، فک و صورت
فلوشیپ ایمپلنتهای دندانی از ICOI آمریکا
گواهینامه ایمپلنت و زیبایی از دانشگاه UCLA آمریکا
تمام حق و حقوق این وب سایت محفوظ است