ایمپلنتولوژی علم دندانپزشکی کاشت ایمپلنتهای دندانی بعد از علم جراحی دهان و دندان جزء قدیمی ترین روشهای دندان پزشکی است استفاده از ایمپلنتهایی به فرم ریشه ای قدمتی چندین هزار ساله دارند.
۴۰۰۰ سال پیش در چین باستان از بامبو برای جایگزینی دندان از دست رفته و ۲۰۰۰ سال پیش در مصر باستان از فلزات گران بها برای این منظور استفاده میکرده اند و در بعضی از مومیاییهای یافت شده در مصر دندان پیوند شده انسان یافت شده است که خود گواهی برای قدمت استفاده از ایمپلنتهای دندانی از سالیان دور میباشد.
در سال ۱۹۵۲ میلادی جراح ارتوپدی سوئدی به نام برانمارک که علاقه مند به ترمیم و بازسازی استخوان بود طی تحقیقاتی روی استخوان ران ،خرگوش متوجه رشد استخوان در اطراف فلز تیتانیوم .گردید برانمارک تحقیقات خود را بر روی انسان و حیوان ادامه داد و توانست بعد از انجام آزمایشها زیادی این ویژگی خوب و مفید فلز تیتانیوم را ثابت کند.
اگر چه برانمارک اول روی استخوان ران کار میکرد اما در ادامه تصمیم گرفت که بر روی دهان، مطالعاتش را ادامه دهد زیرا دسترسی بیشتر و نیاز بیشتری را در این بخش احساس میکرد برانمارک در سال ۱۹۶۵ میلادی اولین ایمپلنت دندانی را در دهان یک داوطلب قرار داد.


ایمپلنت دندان پروتزی است که در دهان بیمار دندان مصنوعی جایگزین دندان طبیعی وی میگردد. امروزه دندانپزشکی ایمپلنت را هنر جایگزینی دندانهای از دست رفته توصیف می.کنند ایمپلنتها برای جایگزینی یک یا چند دندان و برای نگه داشتن و تأمین ریتنشن پروتز کامل اُوردنچر به کار میروند ایمپلنتهای دندانی از تیتانیوم ساخته میشوند و با استخوان استئو اینتگره میشوند. بعد از معاینات اولیه در ابتدا فیکسچر یا همان قسمت ریشه ایی پروتز با استفاده از جراحی کوچکی در داخل فک و به جای دندان از دست داده شده جاگذاری میگردد و بعد از اطمینان از ثبات آن که معمولاً ۴ الی ۶ ماه به طول می انجامد قسمت رویی یا همان تاج دندان (Crown) گذاشته میشود اگر فردی دندان خود را از دست بدهد ایمپلنت در اندازه همان ریشه به جای آن قرار داده میشود.
ایمپلنتها قطعاتی در اندازه دندان طبیعی میباشند. ایمپلنتها توسط ابزار بسیار دقیقی کنترل میگردند و توسط دستگاه های بسیار دقیق ساخته میشود به دلیل خصوصیات ذکر شده برای ایمپلنت دندان هنگامی در فک بیمار قرار بگیرد یک جسم خارجی به شمار نمیرود و با قرار گرفتن در فک بیمار با آن سازگار می.شود ایمپلنت باعث رشد استخوانهای کنار دندان هم میشود و از تحلیل استخوان فک جلوگیری به عمل می آورد.

مرحله اول: معاینه، مشاوره و طرح درمان توسط دندانپزشک

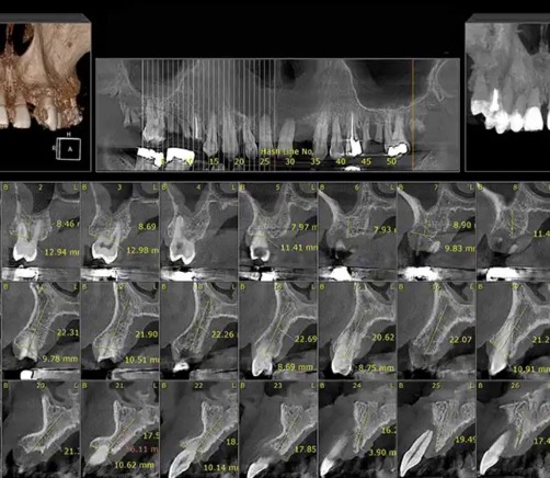
مرحله دوم: انجام عکس رادیوگرافی و سی تی اسکن مخصوص (C.B.C.T)
سپس تایید انجام ایمپلنت با توجه به اسکن، استخوان فک، سینوس ها، اعصاب و شرایط کلی بیمار

مرحله سوم: بی حسی موضعی و کشیدن ریشه دندان باقی مانده توسط دندانپزشک

مرحله چهارم: حال فک بیمار شرایط مناسبی برای کاشت ایمپلنت با استفاده از جراحی دارد و نوبت به نصب اباتمنت می رسد.

مرحله پنجم: در طول این دوران برای پر کردن فضای خالی و محافظت از ایمپلنت کاشته شده از healing استفاده می شود.

در صورتی که لثه های بیمار از استحکام برخوردار نباشد باید عمل پیوند استخوان انجام شود که در این صورت کاشت ایمپلنت یا همزمان با پودر استخوان انجام می شود ولی قالب گیری و گذاشتن روکش ۶ ماه بعد انجام می شود یا کاشت ایمپلنت همزمان با پودر انجام نمی شود و باید تا ۶ ماه الی ۸ ماه زمان بدهیم.

در صورت نیاز پس از گذشت سه ماه از زمان کشیدن دندان، کاشت ایمپلنت انجام می شود. (معمولا برای دندان های آسیاب)



ایمپلنت دندان به صورت فوری تنها در یک جلسه انجام می شود.
در این روش ریشه دندان در یک جلسه کشیده شده و در همان جلسه کاشت ایمپلنت به صورت همزمان انجام می.شود ایمپلنت یک روزه معمولاً برای کاشت دندانهای جلو و تنها در صورتی که استخوان فک از سلامت کامل برخوردار باشد استفاده می شود.
در جلسه بعدی یک روکش موقت روی ایمپلنت نصب شده و پس از تکمیل فرآیند جوش خوردن ایمپلنت به استخوان فک با یک روکش دائمی جایگزین خواهد شد تمامی مراحل کاشت ایمپلنت فوری درست شبیه به ایمپلنت معمولی است.

با این تفاوت که کلیه مراحل حداکثر در دو جلسه انجام میشود.
مرحله هفتم: روکش تیتانیومی یا زیرکویا روی اباتمنت متصل می شود.در اکثر مواقع چسب روکش ایمپلنت موقت است، به این دلیل که جراح شما بتواند هر زمان متوجه علامت و التهابی در اطراف ایمپلنت شد روکش را به راحتی خارج کند و اقدامات لازم برای رفع مشکل بوجود آمده را انجام دهد.
شما در کلینیک تخصصی دندانپزشکی دکتر حامد کرامت میتوانید از انواع خدمات زیبایی مانند لمینت، بلیچینگ، پروتز، روکش دندان و انواع خدمات درمانی مانند جراحی دندان و لثه، جرمگیری و بوتاکس در ناحیه فک و صورت بهرهمند شوید.
کلینیک تخصصی دندانپزشکی دکتر حامد کرامت در تهران، سعادتآباد، بلوار دریا (بین سردار دریا و میدان کوثر) پلاک ۱۵۷ قرار دارد.
برای اطلاع از هزینههای دقیق خدمات دندانپزشکی در کلینیک تخصصی دکتر حامد کرامت میتوانید از طریق شمارههای تماس ۸۸۶۹۴۱۲۰-۰۲۱ و ۸۸۶۹۴۹۱۳-۰۲۱ با ما در ارتباط باشید.
کلینیک تخصصی دکتر حامد کرامت در روزهای شنبه، یکشنبه، دوشنبه و چهارشنبه در شیفت عصر و در روزهای سه شنبه و یکشنبه در شیفت صبح آماده خدمترسانی به شما مراجعین محترم است.
برای رزرو نوبت در کلینیک تخصصی دکتر حامد کرامت کافیست به شماره تلفن ۸۸۶۹۴۱۲۰ زنگ بزنید یا فرم ارتباط با مطب دکتر حامد کرامت را پر کنید تا کارشناسان ما در سریعترین زمان ممکن با شما تماس بگیرند.
برای دریافت مشاوره و نوبت همین حالا تماس بگیرید.
جراح و متخصص بیماریهای دهان، فک و صورت
فلوشیپ ایمپلنتهای دندانی از ICOI آمریکا
گواهینامه ایمپلنت و زیبایی از دانشگاه UCLA آمریکا
تمام حق و حقوق این وب سایت محفوظ است